1 Main Parkway, Plainview, NY 11803

Smile Gallery

The image shows a person with a wide smile displaying yellowish teeth, which may suggest a need for dental care or a cosmetic enhancement, such as teeth whitening or dental implants.

Before

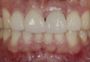
The image shows a close-up of a person s smiling face with clean teeth and a relaxed expression.

After

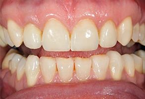
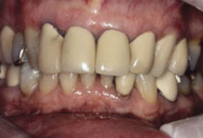
The image displays a close-up view of a person s teeth with significant discoloration and staining, showcasing a dental condition that requires professional attention.

Before

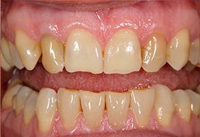
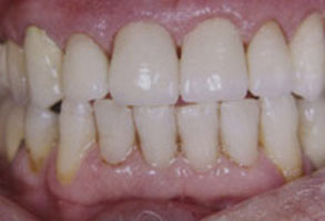
The image shows a close-up of a person s teeth with a focus on a yellowish discoloration, likely intended for dental care purposes or to illustrate the need for teeth whitening services.

After

The image shows a close-up of a person s face with a large smile revealing teeth, including one tooth with a gap between its two halves, which appears to be an implant or bridge. The facial hair suggests stubble, and the skin tone is fair. The background is plain and does not provide any additional context.

Before

The image shows a close-up of a person s mouth with white teeth, lips slightly parted, and a dimple on the chin.

After

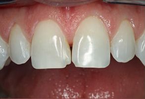
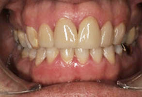
The image displays a close-up view of a person s teeth with a focus on the upper front teeth, which appear to be damaged or discolored.

Before

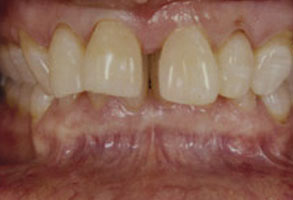
The image shows a close-up view of a person s teeth with visible dental work, likely a cosmetic procedure such as veneers or crowns, set against a blurred background that suggests a professional dental setting.

After

The image displays a close-up view of an open mouth with teeth showing, revealing a dental implant and possibly some orthodontic work in progress.

Before

Dr. Julie Izen | Extractions, Preventative Program and Dentures

After

The image shows a close-up view of a set of teeth with visible staining and discoloration, which appear to be from a patient s mouth after dental treatment, possibly a cleaning or whitening procedure.

Before

The image shows a close-up view of a person s teeth with an emphasis on dental care, possibly for educational or promotional purposes.

After

The image shows a close-up view of a person s mouth with teeth that appear yellowed and possibly stained, suggesting oral health issues such as discoloration or dental decay.

Before

The image shows a person s mouth with teeth, displaying an upper denture and a lower set of teeth, possibly for dental implants or restoration purposes.

After

The image shows a close-up of a person s teeth with yellowing, suggesting poor oral hygiene or advanced age, with an overlay of text that reads  ALT TAG.

Before

The image shows a close-up view of an individual s mouth with teeth, displaying a smile, against a blurred background.

After

The image shows a close-up view of a person s mouth with yellowed teeth and visible signs of decay or damage, possibly for educational or medical purposes.

Before

The image shows a close-up of a person s teeth with a focus on dental decay and discoloration, likely for educational or informational purposes related to oral health.

After

An image of a person's teeth with a focus on a tooth that has been replaced by an implant, showcasing a dental restoration.

Before

The image shows a close-up view of a person's teeth and upper lip, with the teeth appearing yellowed and possibly discolored.

After

The image shows a close-up view of a person's mouth with a set of teeth that appear to be in poor condition, possibly due to decay or other dental issues. The teeth are discolored and one tooth in particular appears to be missing, revealing the gum line. The mouth is open slightly, allowing a clear view of the teeth and the surrounding oral tissues.

Before

An image of a person's mouth with teeth showing, wearing a dental appliance for straightening teeth.

After

The image shows a close-up view of a person's mouth with visible dental work, including dentures and possibly orthodontic appliances, against a background that appears to be a medical setting.

Before

The image shows a close-up view of an individual with a wide open mouth displaying teeth, and wearing a clear dental appliance, possibly for orthodontic purposes.

After

Office Hours & Location

Monday
9:00 am - 8:00 pm
Tuesday
9:00 am - 6:00 pm
Wednesday
9:00 am - 8:00 pm
Thursday
9:00 am - 6:00 pm
Friday
9:00 am - 3:00 pm
Saturday
9:00 am - 4:00 pm
(Alternating)
Sunday
Closed

1 Main Parkway, Plainview, NY 11803